Compartí tu experiencia. Aprendé con expertos. Crecé como intervencionista.
Llega el primer caso de esta nueva edición de El Rincón del Fellow, un espacio académico y colaborativo donde los fellows pueden compartir casos clínicos reales, intercambiar experiencias y plantear dudas o desafíos vinculados a la práctica diaria del intervencionismo cardiovascular.
A continuación, presentamos un caso clínico del mundo real, acompañado de una serie de preguntas para conocer cómo usted habría actuado. Finalmente, compartiremos la resolución del caso y la estrategia adoptada.
En esta primera entrega, abordamos un escenario que, sin dudas, representa un verdadero desafío en la práctica clínica: «Oclusión total crónica tratada por vía retrógrada».

Autor del caso: Dr. Alejandro González Véliz (Cuba).
Institución: Instituto de Cardiología y Cirugía Cardiovascular, La Habana, Cuba.
Jefe de Servicio: Dr. Leonardo H. López Ferrero.
Índice de contenidos
Presentación del caso: Oclusión total crónica tratada por vía retrógrada
- Datos clínicos: Paciente masculino de 63 años, con factores de riesgo cardiovascular: tabaquismo e hipertensión arterial. Fracción de eyección del ventrículo izquierdo (FEVI): 52%.
- Motivo de ingreso: Angina de empeoramiento progresivo.
- El paciente presenta enfermedad coronaria conocida, con oclusión total crónica en el segmento proximal de la arteria descendente anterior izquierda (DAI), y antecedente de intento fallido de intervención coronaria percutánea (PCI) por vía anterógrada.
Coronariografía
- Dominancia derecha.
- Arteria descendente anterior izquierda: oclusión total crónica en el segmento proximal, con cap proximal ambiguo. J-CTO Score: 2 puntos.
- Recibe circulación colateral heterocoronaria desde las ramas septales inferiores.
Participe con nosotros ¿Usted qué hubiera hecho?
Antes de conocer la resolución del caso (disponible más abajo), lo invitamos a formar parte de la discusión respondiendo las siguientes preguntas de opción múltiple.
Resolución del caso
Decisión final adoptada: Abordaje por la vía retrograda mediante técnica de escalamiento de alambres guías.
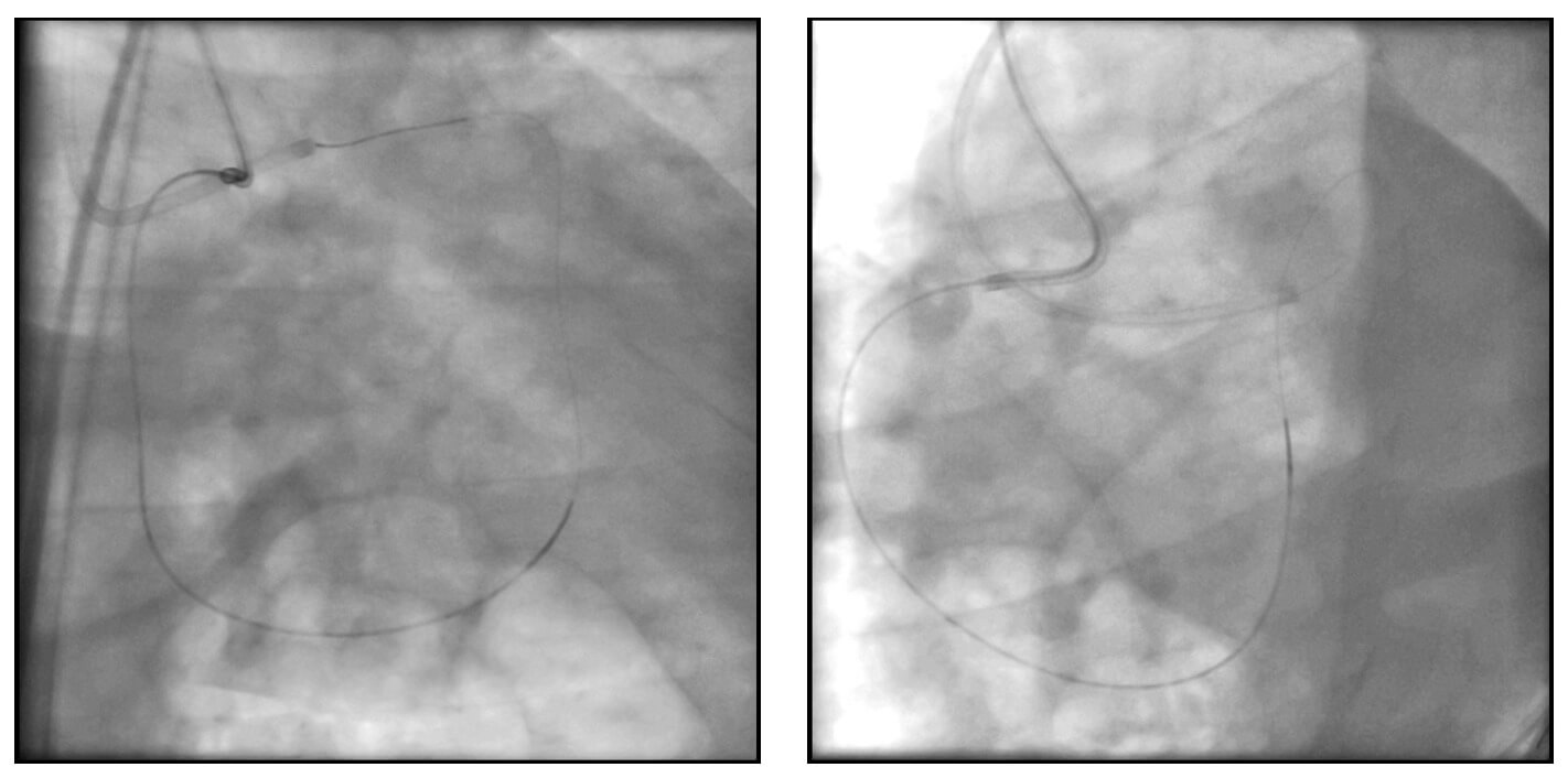
Se realizó inyección de contraste dual en ambas arterias coronarias (arteria coronaria derecha con catéter Amplatz Right y arteria descendente anterior izquierda con catéter EBU). Clasificación de Werner: 2 puntos.
Se avanzó una guía intracoronaria Asahi Sion Black desde la arteria coronaria derecha, siguiendo el trayecto de una de las ramas septales, logrando acceso al tercio medio de la arteria descendente anterior izquierda, con soporte de microcatéter Turnpike. Posteriormente, la guía fue reemplazada por una de 300 cm para su externalización a través del catéter ubicado en el tronco de la coronaria izquierda.

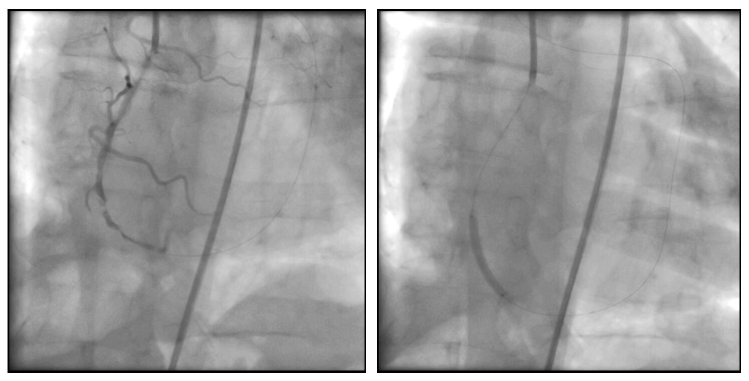
Durante la externalización, el paciente presentó inestabilidad hemodinámica, evidenciándose una disección coronaria en la arteria coronaria derecha. Se procedió a la implantación de un stent, con mejoría clínica inmediata, lo que permitió continuar con el procedimiento planificado.

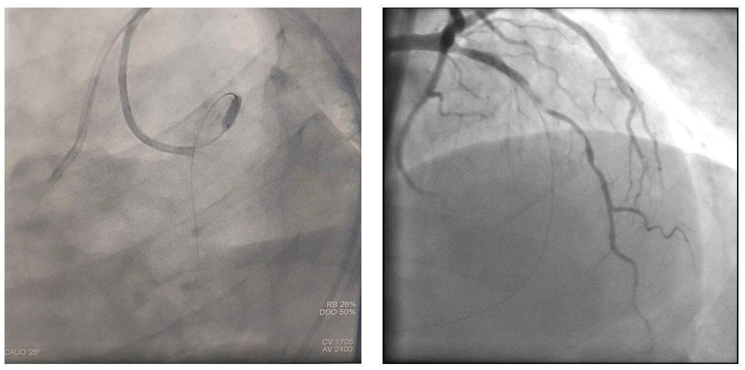
Posteriormente, se logró la predilatación de la oclusión con balones de bajo perfil y se implantó un stent DEStiny en el sitio de la lesión. Tras la apertura de la arteria, se identificó una lesión en la zona de reentrada (sitio de aterrizaje de la guía retrógrada desde la arteria coronaria derecha), por lo que se avanzó una guía por vía anterógrada y se implantó un segundo stent.
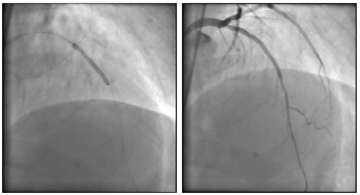
Se obtuvo un excelente resultado angiográfico final. El paciente fue dado de alta a las 48 horas del procedimiento, sin complicaciones.


¡Gracias por llegar hasta aquí!
Lo invitamos a compartir su opinión sobre este caso en los comentarios y a sumarse a la discusión con la comunidad.





