Título original: Effect of the presence and type of angina on cardiovascular events in patients without known coronary artery disease referred for elective coronary angiography. Referencia: Vavalle JP et al. JAMA Cardiology 2016; Epub ahead of print.
Los pacientes que presentan angina típica pero tienen una prueba de esfuerzo negativa previa al cateterismo tienen una alta tasa de enfermedad coronaria de acuerdo a un análisis reciente de pacientes que recibieron coronariografía electiva.
Algo diferente se observó en aquellos con síntomas atípicos pero con prueba de esfuerzo positiva donde solo uno de cada cuatro tenía enfermedad obstructiva en las coronarias.
Estos resultados muestran la relevancia del juicio clínico y la intuición de los Cardiólogos cuando valoran a un paciente con posible enfermedad coronaria.
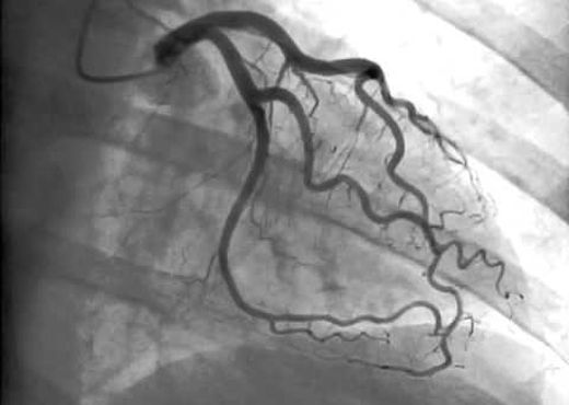
El estudio incluyó 15888 pacientes sin historia conocida de enfermedad coronaria que recibieron una coronariografía electiva entre 1996 y el 2010 en el Duke University Medical Center.
El 36.9% de los pacientes se presentaron con angina típica, el 38.8% con síntomas atípicos y el 24.3% completamente asintomáticos.
Un total de 4994 pacientes se habían realizado previo al cateterismo un estudio de esfuerzo de los cuales 3812 resultaron negativos y 1182 resultaron positivos como indicadores de isquemia.
Algo importante de destacar es que más de dos tercios de los pacientes fueron referidos directo a coronariografía sin ningún tipo de prueba funcional previa. La razón para esto sería que ante una alta sospecha clínica de enfermedad coronaria, el resultado de un estudio intermedio no cambiaría la conducta.
En el presente análisis, los pacientes con angina típica mostraron la tasa más alta de enfermedad coronaria. El 74.3% de los paciente con síntomas típicos pero con prueba de esfuerzo negativa tuvieron enfermedad coronaria significativa en la coronariografía.
En aquellos con síntomas típicos pero que no se realizaron una prueba de esfuerzo y fueron directo a coronariografía se observó una tasa de enfermedad coronaria de casi el 70%.
La tasa más baja de enfermedad coronaria obstructiva (24.6%) se observó en aquellos con síntomas atípicos o sin síntomas y prueba de esfuerzo positiva.
En la era de los modernos estudios diagnósticos, sigue existiendo un rol enorme para el juicio clínico a la cabecera de la cama del paciente.





